Pzt - Cmt: 09:00 - 18:00
Acil Durum: 0545 728 24 54
Klinik Slider Resmi

Sağlıklı Gülüşler İçin Modern Diş Hekimliği

İstanbul'un merkezinde, en son teknoloji ve uzman kadromuzla diş sağlığınız için yanınızdayız. Dt. Akif Yuldaş ve ekibi olarak, her hastamıza özel çözümler sunuyoruz.

Dt. Akif Yuldaş

Kliniğimizi Tanıyın

Dt. Akif Yuldaş

Atatürk Üniversitesi Diş Hekimliği Fakültesi'nden mezun olan Dt. Akif Yuldaş, meslek hayatına başladığı günden bu yana sürekli kendini geliştirmeye ve en güncel tedavi yöntemlerini hastalarına sunmaya özen göstermiştir.

10+ Yıl Deneyim
Modern Teknoloji
Hasta Odaklı Yaklaşım
Hakkında Daha Fazla Bilgi

Hizmetlerimiz

Öne Çıkan Tedavilerimiz

Gülüşünüzü güzelleştirmek ve ağız sağlığınızı korumak için sunduğumuz popüler hizmetlerimize göz atın.

Zirkonyum

Zirkonyum

Kaplama...

Tümünü Gör
Lamine

Lamine

Minimal preperasyon...

Tümünü Gör
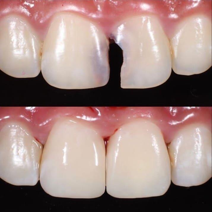
Estetik dolgu

Estetik dolgu

Ön bölgede yapılan estetik çalışma...

Tümünü Gör
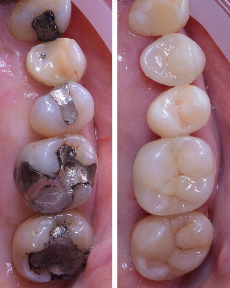
Restoratif tedavi

Restoratif tedavi

Kırık veya çürük dişlerin onarımı...

Tümünü Gör

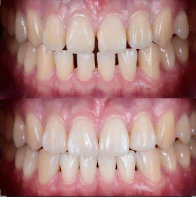
Başarı Hikayeleri

Gülüşü Değişen Hastalarımız

Tedavilerimizle elde ettiğimiz başarılı sonuçlardan bazılarını inceleyin.

Kompozit Lamine

Kompozit Lamine

Tedavi Videoları

Tedavi süreçlerimizi ve başarılı sonuçlarımızı inceleyin

Mükemmel bir ağız hijyenine nasıl ulaşılır?

İmplant nedir, nasıl yapılır?

Klinik Galeri

Modern kliniğimizin ortamını ve tedavi ünitelerimizi inceleyin

Bilgi Köşesi

Güncel Blog Yazıları

Ağız ve diş sağlığı, güncel tedavi yöntemleri ve sağlıklı bir gülüş için ipuçları.

Henüz blog yazısı eklenmemiş.

5000+
Mutlu Hasta
1200+
İmplant Uygulaması
3500+
Estetik Uygulama

Hastalarımız Ne Diyor?

Hasta Yorumları

İmplant tedavim için araştırma yaparken Dt. Akif Yuldaş'a ulaştım. Tedavi sürecim boyunca gösterdiği profesyonel yaklaşım ve ilgi için çok teşekkür ederim. Artık gülümsemekten çekinmiyorum.

Ayşe Kaya

İmplant Tedavisi

Yıllardır diş hekimi korkusu yaşayan biri olarak, Dt. Akif Bey'in kliniğinde kendimi çok rahat hissettim. Kanal tedavim sırasında hiçbir ağrı hissetmedim. Tüm ekibe teşekkürler.

Mehmet Yılmaz

Kanal Tedavisi

Gülüş tasarımı için birçok klinik araştırdım ve sonunda Dt. Akif Yuldaş'ı tercih ettim. Sonuçtan çok memnunum, doğal ve estetik bir gülüşe kavuştum.

Zeynep Demir

Gülüş Tasarımı

Merak Edilenler

Sıkça Sorulan Sorular

Tedavilerimiz ve kliniğimiz hakkında en çok merak edilen sorular ve yanıtları.

İmplant operasyonu lokal anestezi altında yapıldığı için işlem sırasında ağrı hissedilmez. İşlem sonrası hafif bir sızlama olabilir, bu da ağrı kesicilerle kolayca kontrol edilir. Tek bir implantın yerleştirilmesi genellikle 15-30 dakika sürer. Kemik ile implantın bütünleşmesi (osseointegrasyon) için ise 2-3 ay beklemek gerekir.

Evet, dişlerinin renginden, şeklinden veya diziliminden memnun olmayan, sağlıklı diş etlerine sahip hemen hemen herkese gülüş tasarımı uygulanabilir. Öncelikle detaylı bir muayene ile mevcut durum analiz edilir ve hastamızın beklentileri doğrultusunda kişiye özel bir plan oluşturulur.

Diş beyazlatma kalıcı değildir, ancak etkisi uzun sürer. Bu süre, kişinin beslenme alışkanlıklarına (çay, kahve, sigara tüketimi vb.) ve ağız hijyenine bağlı olarak 1 ila 3 yıl arasında değişebilir. 6 ayda bir yapılan hekim kontrolleri ile beyazlığın ömrü uzatılabilir.

Sağlıklı Bir Gülüş İçin İlk Adımı Atın

Randevu almak veya bilgi edinmek için hemen bizimle iletişime geçin.