Pzt - Cmt: 09:00 - 18:00
Acil Durum: 0545 728 24 54

Tedavilerimiz

Kliniğimizde, modern diş hekimliğinin tüm olanaklarını kullanarak size özel tedavi çözümleri sunuyoruz.

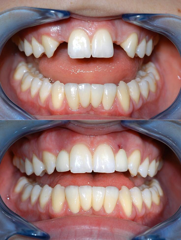
Zirkonyum

Zirkonyum

Bilgi & Randevu
Lamine

Lamine

Bilgi & Randevu
Estetik dolgu

Estetik dolgu

Bilgi & Randevu
Restoratif tedavi

Restoratif tedavi

Bilgi & Randevu
implant

implant

Bilgi & Randevu
Ortodonti

Ortodonti

Bilgi & Randevu